Loading content...

Dominika Pokora
asystentka stomatologiczna

Julia Jurczyk
asystentka
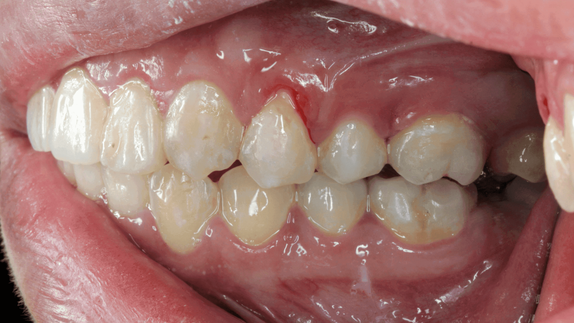
Periodontologia to specjalizacja stomatologiczna, która zajmuje się zapobieganiem, diagnozowaniem i leczeniem chorób przyzębia, w tym zapalenia dziąseł i zaawansowanej periodontopatii. Choroby te, jeśli pozostawione bez odpowiedniego leczenia, mogą prowadzić do utraty zębów i innych poważnych problemów zdrowotnych. Oto kluczowe usługi w Benemedica:


W periodontologii stosowane są zaawansowane technologie, które znacznie zwiększają skuteczność leczenia chorób przyzębia. Jedną z nich jest zastosowanie lasera do precyzyjnego usuwania zainfekowanej tkanki oraz do sterylizacji kieszonek przyzębnych, co znacznie redukuje ryzyko powikłań i skraca czas gojenia. Innowacyjne metody regeneracji, takie jak użycie błon resorbowalnych, czynników wzrostu czy biomateriałów, wspomagają odbudowę utraconej tkanki kostnej i przyzębia. Techniki te, połączone z tradycyjnymi metodami leczenia, takimi jak skaling i root planing, oferują kompleksowe podejście do leczenia periodontopatii.
Proces leczenia periodontologicznego rozpoczyna się od szczegółowej diagnozy, która może obejmować badanie kliniczne, zdjęcia rentgenowskie i ocenę głębokości kieszonek przyzębnych. Na podstawie zgromadzonych informacji, periodontolog opracowuje indywidualny plan leczenia, który może zawierać zarówno procedury niechirurgiczne, jak i chirurgiczne. Leczenie niechirurgiczne zazwyczaj obejmuje skaling i root planing, czyli głębokie czyszczenie kieszonek przyzębnych, a w niektórych przypadkach może być wspomagane terapią laserową. Zabiegi chirurgiczne są stosowane w bardziej zaawansowanych przypadkach i mogą obejmować regenerację tkanek lub korektę konturu dziąseł. Celem terapii jest nie tylko eliminacja choroby, ale również przywrócenie estetyki i funkcji przyzębia.